Профессиональная гигиена полости рта — что это и как делается
Здоровье полости рта и зубов напрямую зависят от соблюдения правил по регулярной чистке и гигиене полости рта. Правильный выбор зубных щеток и зубных паст с наиболее подходящим составом в каждом конкретном случае позволяет качественно счищать налет и оказывает терапевтическое действие не только на поверхность зубов, но и на десна.
Однако этого может быть недостаточно в случае необходимости проведения более детальной и тщательной чистки зубов, а также отбеливания на один или более тонов.
Существует целый ряд процедур профессиональной гигиены полости рта, которые позволяют улучшить состояние зубов и убрать даже самый устойчивый налет. Записаться на гигиену полости рта можно на сайте стоматологии https://gromova-stom.ru/gigiena.

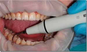
Ультразвуковая чистка
Ультразвуковая чистка — одна из самых популярных процедур, которая оказывает положительный эффект всего за 1-2 сеанса.
Особенность заключается в использовании специального оборудования со специальным наконечником, который излучает высокочастотные звуковые волны.
Таким образом, при помощи воздействия звуковых волн отлично дробится и счищается зубной камень. При этом эмаль зубов не повреждается, что позволяет использовать ультразвуковую чистку более 1 раза в месяц.
С целью предотвращения перегрева поверхности зубов и повреждения эмали на кончик аппарата подается вода, которая охлаждает процесс чистки и смывает удаляемые загрязнения.

Пескоструйная очистка
Особенность этой технологии заключается в подаче на поверхность зубов специальной смеси, состоящей из воздуха, пищевой соды и воды под высоким давлением.
Таким образом получается добиться пескоструйного эффекта, мелкие частицы соды оказывают скрабирующий эффект позволяя эффективно удалять зубной камень и налет. В процессе работы вода в составе смывает удаляемые загрязнения а также охлаждает поверхность зубов, предотвращая перегрев и повреждение эмали.
Применение пескоструйной чистки зубов технологии Air-Flow позволяет получить ярко выраженный эффект уже после первой процедуры, который сохраняется долгое время.
Полировка зубов
Полировка — заключительный этап в наборе процедур профессиональной гигиены полости рта.
Она может проводиться после любой процедуры по чистке зубов и представляет собой обработку поверхности зубов специальным аппаратом. Он шлифует поверхность зубов до достижения идеально гладкой поверхности, нейтрализуя негативный след, который остался после удаления зубного камня и налета.

